インプラント

インプラントとは
歯を失ってしまった場合、顎の骨の中にネジのような人工の歯根を入れ、その歯根の上に人工の歯を作り装着します。人工の歯根はチタンでできているので安全です。歯のもっとも重要な役割は、かむことです。奥歯は食べものを噛み砕き、すりつぶす機能を持っていますし、前歯は、食べものを切り裂く機能はもちろん発音機能や審美的な要素も含まれます。しかし、むし歯や歯周病、不幸な事故により歯を失ってしまう場合、歯というものは、たった1本の歯を失うだけでも機能と審美が崩れ、体全体のバランスにも悪影響を及ぼします。そのため、できるだけ早くその失った部分を人工の歯で補っておくことが重要です。人がものをかむときの力は、想像以上に大きいものですが、顎の骨に埋め込むことで、天然歯と同じようにかむ機能を改善し、強くかむことも可能です。また上部構造の歯冠の色や形も、最新の歯科技術によって、自分の歯と同じように作ることが可能です。
インプラントの構造

上部構造(人工の歯)
主にセラミック素材のものを使用し、ほぼ自分の歯と同じぐらい自然に仕上げられます。
アバットメント
インプラントと上部構造を接続するパーツになります。 かみ合わせの状態によって、角度を微調整します。
インプラント(人工歯根)
顎の骨に直接埋め込みます。術後はインプラントと骨が強力に結合しますので、取れる心配はありません。
インプラント治療の流れ

STEP1 CTによる撮影
CT撮影(断層撮影)は体を輪切りの状態で撮影、見ることができるようにする装置です。断層画像からは顎の骨の状態、深さ、厚さ、位置などを正確に確認することができます。

STEP2 インプラント治療計画システム simplantによる診断
インプラント治療を適切に行うためには、顎の骨の状態を詳しく調べることが必要です。当院では、CT検査で顎の骨の断面画像を撮影し、最先端インプラント治療計画システム(simplant)を使い、より安全で正確なインプラント治療を行うため、治療計画を立てます。

STEP3 カウンセリング 治療計画の説明
診断結果をもとに、コンピュータを使って画面を見ながら一人ひとりの治療方法やそのためにかかる費用を説明します。治療に関しては、患者さまにも現在の状態や治療計画をよく理解していただき、治療を進めていきますので、疑問・質問などは何でもお聞きください。

STEP4 インプラント埋入手術
手術には1回法と2回法があり、当院では、患者さまの骨の状態によって1回法、2回法の判断をいたします。また、2回法とは、複雑な処置を併用した場合の手術で、2~3ヶ月程度経過したところでインプラントの一部を歯肉の上に出します。
手術後は、インプラントと顎の骨がしっかりくっつくまで、約3ヶ月程度の治癒期間をおきます。この間は、仮歯を使用できますので、歯がなくなる心配はありません。

STEP5メインテナンス
定期的なメインテナンスで歯垢、プラークを落とし、口腔内を清潔に保つことが、重要です。一般的には、3ヶ月に1回程度の間隔でメインテナンスを行います。メインテナンスはクリーニングですので、痛みはありません。
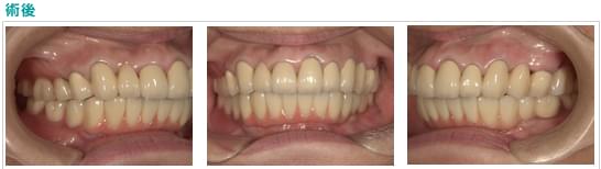
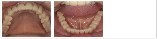
インプラント症例
CASE1
上顎:オーバーデンチャー / 下顎:インプラントオーバーデンチャー




CASE2
インプラント埋入時○の部分に骨造成を行ったため、くぼみがなくなりました。


口腔外科用ブラシ
機械による量産化ができない機能する歯ブラシたちは、この道40年のベテラン職人が末永くご愛用いただけることを願って、一本一本、手塩にかけて、完成させています。

唯 YUI
ファクションネック機構
適正ブラッシング圧が見えます。
R(150g) S(100g)

従来型は本来ローリング法用であり、バス法に使用すると、押す、動かすという不自然で不可能なことを要求しています。患者さまができないのが当たり前です。 支点となる手は疲れ、植毛の先端は早期に広がる、加圧して壊すために使っていることになるという矛盾があります。唯は、加力への意識と力を視覚(鏡などで見える)神経に任せられます。指からは力が抜けるため、疲労が少なくてすみますし、微動が可能になります。
料金表
お問い合わせContact
医療法人 明倫会 ちば歯科クリニックへのお問い合わせはお電話より受け付けております。
WEB予約もご利用ください。医院の前には広い駐車スペースをご用意しております。お車でもお気軽にご来院ください。
〒987-0511
宮城県登米市迫町佐沼字中江1-5-11
TEL:0220-22-6007